Clinical case 1

€ 0,00 (without VAT 21%)
Description

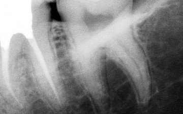
Pr K. BALTO, Saudi Arabia 1/3 Preoperative X-ray: tooth n°18 with irreversible pulpits and symptomatic apical periodontitis.

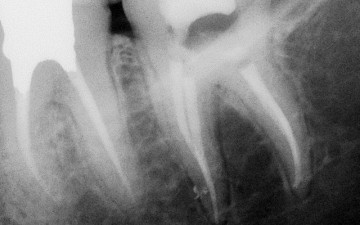
2/3 Postoperative x-ray Glide path with One G, Preflaring with One flare, Shaping with One curve in three waves up to the apex.

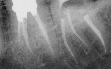
3/3 Postoperative x-ray Glide path with One G, Preflaring with One flare, Shaping with One curve in three waves up to the apex.  

Comments

You might also like

We use cookies to improve our website, to analyze the traffic on the website, to make the website work properly and to link to social media. By clicking Yes, you consent to the placement of all cookies as described in our privacy and cookie statement.

Facebook