1 2
 

Clinical case 3

€ 0,00 (without VAT 21%)
Description

Dr Jean-Philippe Mallet, France - 1/2
Preoperative x-ray: Upon diagnosis of pulp necrosis an initial endodontic treatment is indicated. The mesial root canals present a mineralized root canal lumen and a strong curvature and the distal canal an extremely curved apical third.

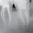
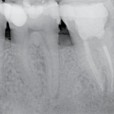
2/2
Postoperative x-rays: The endodontic treatment is performed after scouting of the root canal with a diameter 10 hand file and securing of the mesial root canals using the NiTi file One G. Shaping was carried out with TS1 and TS2 to the working length, the MB2 canal was prepared using…

Comments

You might also like

We use cookies to improve our website, to analyze the traffic on the website, to make the website work properly and to link to social media. By clicking Yes, you consent to the placement of all cookies as described in our privacy and cookie statement.

Facebook