1 2
 

Clinical case 2

€ 0,00 (without VAT 21%)
Description

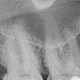
Pr. Walid Nehme, Liban - 1/2
Preoperative x-ray of a 16 and a 17, both with deep caries and acute pulpitis.

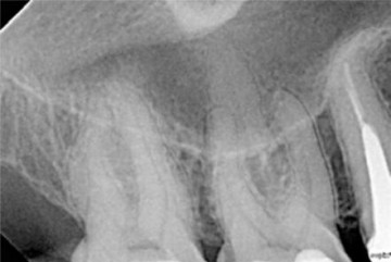
2/2
Postoperative x-ray. Both molars were shaped using the 2Shape sequence. The apical finishing of the palatine canals was carried out with a F35 file.

Comments

You might also like

We use cookies to improve our website, to analyze the traffic on the website, to make the website work properly and to link to social media. By clicking Yes, you consent to the placement of all cookies as described in our privacy and cookie statement.

Facebook