1 2
 

Clinical case 1

€ 0,00 (without VAT 21%)
Description

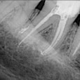
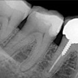
Pr. Franck Diemer, France - 1/2
Preoperative x-ray of a patient’s necrotic 47 which received a crown reconstruction 6 months ago (glass ionomer cement + composite).

2/2
Postoperative x-ray after shaping with 2Shape, apical finishing using F40 and obturation with pure thermomechanical condensation technique thanks to Revo Condensor.

Comments

You might also like

We use cookies to improve our website, to analyze the traffic on the website, to make the website work properly and to link to social media. By clicking Yes, you consent to the placement of all cookies as described in our privacy and cookie statement.

Facebook